Common Orthodontic Problems or Malocclusion

Young woman holding clear aligner at dental visit | Troy City Orthodontics in Fall River, MA

Orthodontic concerns are more common than many people realize, very few smiles develop perfectly on their own. A “bad bite,” also known as malocclusion, can affect more than just the appearance of your smile. It may impact how you chew, speak, and maintain oral hygiene, and can even affect long-term dental health and self-confidence.

These issues may be inherited or develop over time due to habits like thumb sucking, early or late loss of baby teeth, dental disease, injury, or other health-related factors.

At Troy City Orthodontics in Fall River, MA, Dr. Katherine Moynihan takes a personalized approach to diagnosing and treating orthodontic concerns. By understanding the specific issue, we can create a customized treatment plan that improves both the function of your bite and the appearance of your smile.

Below are some of the most common orthodontic problems we treat:

Child underbite teeth before orthodontic treatment | Troy City Orthodontics in Fall River, MA

Upper Front Teeth Protrusion

When the upper front teeth extend too far forward, or the lower teeth sit too far back, it can create an imbalanced appearance. This condition may also make the front teeth more vulnerable to injury, especially during sports or everyday activities, and can affect how the lips close comfortably.

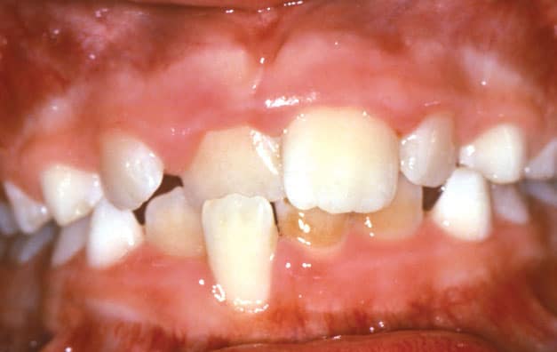
Close-up of crowded front teeth before treatment | Troy City Orthodontics in Fall River, MA

Overbite

An overbite occurs when the upper front teeth significantly overlap the lower front teeth. In more severe cases, the lower teeth may bite into the roof of the mouth. Over time, this can lead to jaw discomfort, excessive wear on the teeth, and even headaches if left untreated.

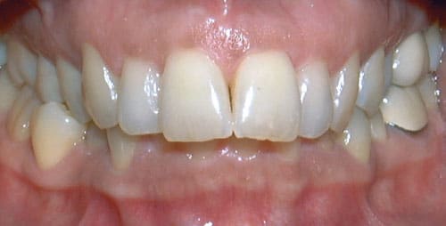
Overlapping teeth before orthodontic treatment | Troy City Orthodontics in Fall River, MA

Crossbite​

A crossbite happens when some of the upper teeth sit inside the lower teeth instead of outside. This misalignment can affect how the jaw develops and may lead to uneven wear on teeth, gum recession, or shifting of the jaw over time if not corrected early.

Teeth with open bite before orthodontic treatment | Troy City Orthodontics in Fall River, MA

Openbite

With an open bite, the upper and lower front teeth do not touch when the mouth is closed. This can make biting into foods like sandwiches difficult and may also contribute to speech challenges. Open bites are often associated with habits such as thumb sucking or tongue thrusting.

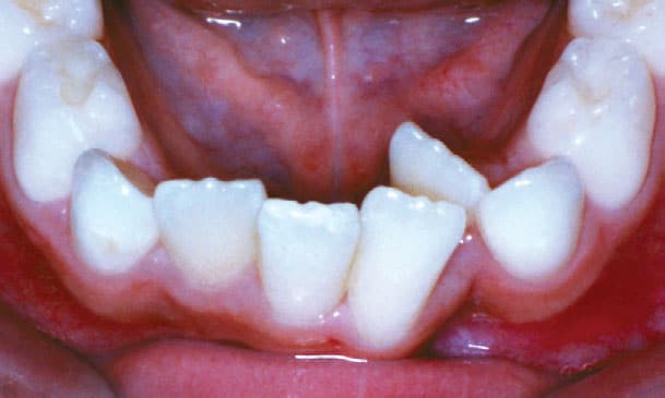
Crowded lower teeth before orthodontic treatment | Troy City Orthodontics in Fall River, MA

Crowding​

Crowding occurs when there isn’t enough space in the jaw for teeth to align properly. Teeth may overlap, twist, or become difficult to clean. This can increase the risk of cavities and gum disease. In many cases, crowding can be corrected with orthodontic treatment that creates space and improves alignment.

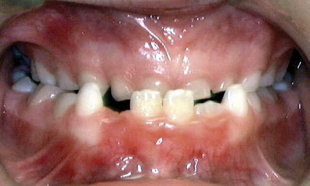
Close-up of white teeth with gap before treatment | Troy City Orthodontics in Fall River, MA

Spacing​

Spacing refers to gaps between teeth, which may result from missing teeth, natural jaw size differences, or habits. While sometimes cosmetic, these spaces can also affect how teeth function together. Orthodontic treatment can close gaps and create a more even, balanced smile.

Child teeth showing gap before orthodontic treatment | Troy City Orthodontics in Fall River, MA

Underbite

An underbite occurs when the lower jaw extends forward, causing the lower teeth to sit in front of the upper teeth. This can affect chewing, speaking, and jaw comfort. In some cases, it may also contribute to uneven tooth wear or strain on the jaw joints.